Lompat ke konten
Abhipraya Foundation
Abhipraya Foundation

Abhipraya Foundation

Give Hope for Humanity

Menu
  • Beranda
  • About Us
    • Vision & Mision
    • The Team
  • Events
    • Event Januari 2026
    • Event April 2026
    • Event Juni 2026
    • Event Juli 2026
    • Event Oktober 2026
  • Articles
    • HIV/AIDS
    • Addiction
    • Mental Health
    • News
    • Publications
    • Stories
    • Related Health Topics
  • Contact Us
×
Berita Baru:
  • Mental Health Specialist Telemedicine Uptake and Patient Location
  • Longitudinal Changes in Cognition and Brain Imaging in Persons with HIV
  • Penelitian Neuroimaging Memastikan Perlindungan Kognitif yang Diberikan oleh ART yang Efektif
  • Once-Weekly Semaglutide in Adults With Alcohol Use Disorder: A Randomized Clinical Trial
  • GLP-1 agonists: a game changer in pain treatment and addiction
  • Mental Health Specialist Telemedicine Uptake and Patient Location

    Mental Health Specialist Telemedicine Uptake and Patient Location

    Jacob Jorem, Andrew D Wilcock, Alisa B Busch, Haiden A Huskamp, Ateev Mehrotra Abstrak Kepentingan: Kesenjangan geografis yang luas dalam penggunaan layanan kesehatan mental
    Lanjut Baca
    Publications 
  • Longitudinal Changes in Cognition and Brain Imaging in Persons with HIV

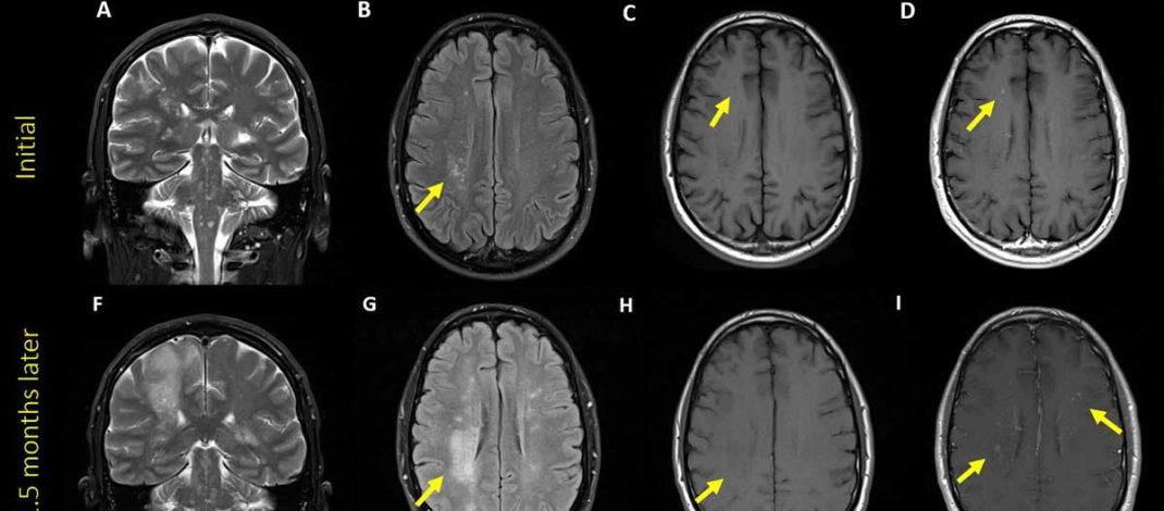
    Longitudinal Changes in Cognition and Brain Imaging in Persons with HIV

    James Kennedy, Sarah A Cooley, June Roman Fox, Kalen J Petersen, Elizabeth Westerhaus, Pat Reid, Linet Lopez, Beau M Ances Abstrak Latar Belakang: Seiring
    Lanjut Baca
    Publications 
  • Penelitian Neuroimaging Memastikan Perlindungan Kognitif yang Diberikan oleh ART yang Efektif

    Penelitian Neuroimaging Memastikan Perlindungan Kognitif yang Diberikan oleh ART yang Efektif

    Neuroimaging Study Affirms Cognitive Protections Conferred by Effective ART Penelitian terbaru yang terperinci menunjukkan salah satu bukti ilmiah terkuat yang kita miliki sejauh ini
    Lanjut Baca
    News 
  • Once-Weekly Semaglutide in Adults With Alcohol Use Disorder: A Randomized Clinical Trial

    Once-Weekly Semaglutide in Adults With Alcohol Use Disorder: A Randomized Clinical Trial

    Christian S Hendershot, Michael P Bremmer, Michael B Paladino, Georgios Kostantinis, Thomas A Gilmore, Neil R Sullivan, Amanda C Tow, Sarah S Dermody, Mark A Prince, Robyn Jordan, Sherry A McKee, Paul J Fletcher, Eric D
    Lanjut Baca
    Publications 
  • GLP-1 agonists: a game changer in pain treatment and addiction

    GLP-1 agonists: a game changer in pain treatment and addiction

    Sahil Bade, Mark Friedrich B Hurdle, Sohail Bade, Sebastian Encalada, Sharima Kanahan-Osman, Sahil Gupta Abstrak Nyeri kronik menimbulkan beban layanan kesehatan yang signifikan, dengan pengobatan yang seringkali dibatasi oleh
    Lanjut Baca
    Publications 
Mental Health Specialist Telemedicine Uptake and Patient LocationLongitudinal Changes in Cognition and Brain Imaging in Persons with HIVPenelitian Neuroimaging Memastikan Perlindungan Kognitif yang Diberikan oleh ART yang EfektifOnce-Weekly Semaglutide in Adults With Alcohol Use Disorder: A Randomized Clinical TrialGLP-1 agonists: a game changer in pain treatment and addiction

ADDICTION

Wanita dan Alkohol
Addiction 

Wanita dan Alkohol

Maret 6, 2026 admin 0

Penelitian menunjukkan bahwa konsumsi dan penyalahgunaan alkohol pada wanita mengalami peningkatan. Meskipun penyalahgunaan alkohol oleh siapapun menimbulkan masalah kesehatan masyarakat yang serius, wanita yang

Selengkapnya
Psilocybin Sebagai Obat (Seri 5)

Psilocybin Sebagai Obat (Seri 5)

Februari 18, 2026 admin 0
Mikrodosing dan Kehamilan Terkait Psilocybin (Seri 4)

Mikrodosing dan Kehamilan Terkait Psilocybin (Seri 4)

Februari 16, 2026 admin 0
Psilocybin dan Adiksi (Seri 3)

Psilocybin dan Adiksi (Seri 3)

Februari 13, 2026 admin 0
Efek Psilocybin dan Alasan Penggunaan Psilocybin (Seri 2)

Efek Psilocybin dan Alasan Penggunaan Psilocybin (Seri 2)

Februari 11, 2026 admin 0

NEWS

Penelitian Neuroimaging Memastikan Perlindungan Kognitif yang Diberikan oleh ART yang Efektif
News 

Penelitian Neuroimaging Memastikan Perlindungan Kognitif yang Diberikan oleh ART yang Efektif

Maret 13, 2026 admin 0

Neuroimaging Study Affirms Cognitive Protections Conferred by Effective ART Penelitian terbaru yang terperinci menunjukkan salah satu bukti ilmiah terkuat yang kita miliki sejauh ini

Selengkapnya
Merokok Berhubungan Dengan Katarak dan Kehilangan Penglihatan Dini

Merokok Berhubungan Dengan Katarak dan Kehilangan Penglihatan Dini

Maret 4, 2026 admin 0

STORIES

Saya Hadi dan inilah cerita saya
Stories 

Saya Hadi dan inilah cerita saya

Mei 14, 2025 admin 0

Saya seorang pecandu selama 10 Tahun dan sangat lelah dengan perjalanan penggunaan narkoba yang saya lakukan. Saya tahu betul bahwa apa yang saya lakukan

Selengkapnya
My Addiction Stories

My Addiction Stories

Mei 9, 2025 admin 0

PUBLICATION

Mental Health Specialist Telemedicine Uptake and Patient Location
Publications 

Mental Health Specialist Telemedicine Uptake and Patient Location

Maret 16, 2026 admin 0

Jacob Jorem, Andrew D Wilcock, Alisa B Busch, Haiden A Huskamp, Ateev Mehrotra Abstrak Kepentingan: Kesenjangan geografis yang luas dalam penggunaan layanan kesehatan mental

Selengkapnya
Longitudinal Changes in Cognition and Brain Imaging in Persons with HIV

Longitudinal Changes in Cognition and Brain Imaging in Persons with HIV

Maret 13, 2026 admin 0
Once-Weekly Semaglutide in Adults With Alcohol Use Disorder: A Randomized Clinical Trial

Once-Weekly Semaglutide in Adults With Alcohol Use Disorder: A Randomized Clinical Trial

Maret 11, 2026 admin 0
GLP-1 agonists: a game changer in pain treatment and addiction

GLP-1 agonists: a game changer in pain treatment and addiction

Maret 9, 2026 admin 0
Social Jet Lag Has Detrimental Effects

Social Jet Lag Has Detrimental Effects

Maret 2, 2026 admin 0

HIV/AIDS

Bepergian Dengan Aman Bagi ODHIV
HIV/AIDS 

Bepergian Dengan Aman Bagi ODHIV

Februari 27, 2026 admin 0

Bagaimana ODHIV mempersiapkan diri untuk bepergian? Persiapkan obat HIV yang cukup untuk masa inap, termasuk kemungkinan penundaan Penting bagi ODHIV untuk terus minum obat

Selengkapnya
HIV dan Penggunaan Narkoba

HIV dan Penggunaan Narkoba

Januari 27, 2026 admin 0
HIV, Nutrisi, dan Keamanan Pangan

HIV, Nutrisi, dan Keamanan Pangan

Desember 29, 2025 admin 0
Webinar Hari AIDS Sedunia 2025

Webinar Hari AIDS Sedunia 2025

Desember 17, 2025 admin 0
HIV dan Pengungsian

HIV dan Pengungsian

November 26, 2025 admin 0

Mental Health

Gangguan Penimbunan (Hoarding Disorder)
Mental Health 

Gangguan Penimbunan (Hoarding Disorder)

Februari 2, 2026 admin 0

Apa yang dimaksud dengan gangguan penimbunan? Orang dengan gangguan penimbunan memiliki kesulitan persisten untuk membuang atau berpisah dari barang miliknya karena merasa butuh untuk

Selengkapnya
Membantu Anak dan Remaja Mengatasi Kejadian Traumatis

Membantu Anak dan Remaja Mengatasi Kejadian Traumatis

Desember 24, 2025 admin 0
Gangguan Stres Pasca Kejadian Trauma(Post-Traumatic Stress Disorder; PTSD)

Gangguan Stres Pasca Kejadian Trauma(Post-Traumatic Stress Disorder; PTSD)

Desember 22, 2025 admin 0
Koping Pasca Bencana

Koping Pasca Bencana

Desember 15, 2025 admin 0
Psikoterapi

Psikoterapi

Agustus 6, 2025 admin 0

EVENTS

Managing substance use disorder treatment services in line with international ‘Key Quality Standards’
Event Januari 2026 

Managing substance use disorder treatment services in line with international ‘Key Quality Standards’

Januari 7, 2026 admin 0

Kursus 1: Jan 22, Jan 29, Feb 5, Feb 12, Feb 19 Kursus 2: Feb 24, Mar 3, Mar 10, Mar 17, Mar 24

Selengkapnya
Online Universal Nursing Addiction Curriculum (UNAC)

Online Universal Nursing Addiction Curriculum (UNAC)

Januari 7, 2026 admin 0

Related Health Topics

Keselamatan, Pemulihan, dan Harapan Pasca Bencana
Related Health Topics 

Keselamatan, Pemulihan, dan Harapan Pasca Bencana

Februari 25, 2026 admin 0

Membantu Keluarga dan Komunitas Pulih Bencana dapat menimbulkan serangkaian dampak pada mereka yang mengalaminya – individu, keluarga, dan komunitas. Bencana terkadang memunculkan rasa takut,

Selengkapnya
HIV, Nutrisi, dan Keamanan Pangan (Seri-6)

HIV, Nutrisi, dan Keamanan Pangan (Seri-6)

Januari 9, 2026 admin 0
HIV, Nutrisi, dan Keamanan Pangan (Seri-5)

HIV, Nutrisi, dan Keamanan Pangan (Seri-5)

Januari 5, 2026 admin 0
HIV, Nutrisi, dan Keamanan Pangan (Seri-4)

HIV, Nutrisi, dan Keamanan Pangan (Seri-4)

Januari 5, 2026 admin 0
  • Instagram
  • Facebook
  • YouTube

Copyright © 2026 Abhipraya Foundation. All rights reserved. Tema: ColorNews oleh ThemeGrill. Dipersembahkan oleh WordPress.

Contact Us